





Dr. Lovey Singhal is widely regarded as one of the best orthopaedic surgeon in Gurugram, with over 15 years of clinical excellence. He specializes in knee replacement surgery, arthroscopy, ligament reconstruction, and sports injury management. With more than 500 successful knee replacements, 3,000 knee arthroscopy procedures, and 1,000+ arthroscopic ligament reconstructions, he brings precision and reliability to every treatment. Known for his patient-centric approach, advanced surgical techniques, and ethical care, Dr. Lovey Singhal helps patients regain mobility, reduce pain, and return to active, healthy lives.
Dr. Lovey Singhal is a renowned orthopaedic surgeon with 15+ years of clinical excellence, widely trusted for advanced knee care and minimally invasive orthopaedic surgeries. With a strong focus on knee replacement, arthroscopy, and ligament reconstruction, he has successfully transformed the lives of thousands of patients through precision-driven and patient-centric care.
Trained under legendary orthopaedic pioneers Dr. K.H. Sancheti and Dr. Parag Sancheti, Dr. Singhal combines world-class surgical expertise with compassionate care. His approach blends the latest medical advancements with ethical practice, ensuring faster recovery, reduced pain, and long-term joint health.
Currently serving as Senior Consultant Orthopaedics at Apollo Miracle Hospital, Gurgaon, Dr. Lovey Singhal is known for handling complex orthopaedic cases with confidence and clarity. His vast surgical experience, academic contributions, and commitment to excellence make him a preferred choice for knee and joint treatments.
Robotic joint replacement is an advanced orthopaedic procedure that combines surgical expertise with cutting-edge robotic technology to achieve exceptional precision.
ACL reconstruction is a specialized orthopaedic procedure performed to restore knee stability after an anterior cruciate ligament (ACL) injury. The ACL is a crucial ligament that maintains knee
PCL reconstruction is an advanced orthopaedic procedure performed to restore stability and function of the knee after injury to the posterior cruciate ligament (PCL).
Meniscus repair is a specialized arthroscopic procedure aimed at preserving and restoring the meniscus, a vital cartilage structure in the knee that acts as a shock absorber and stabilizer.
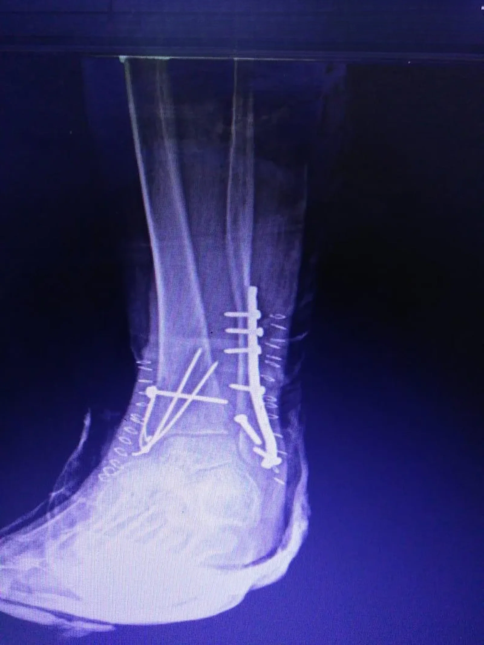
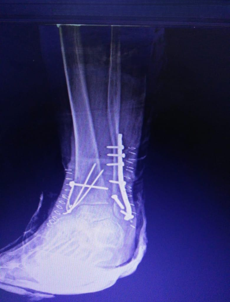
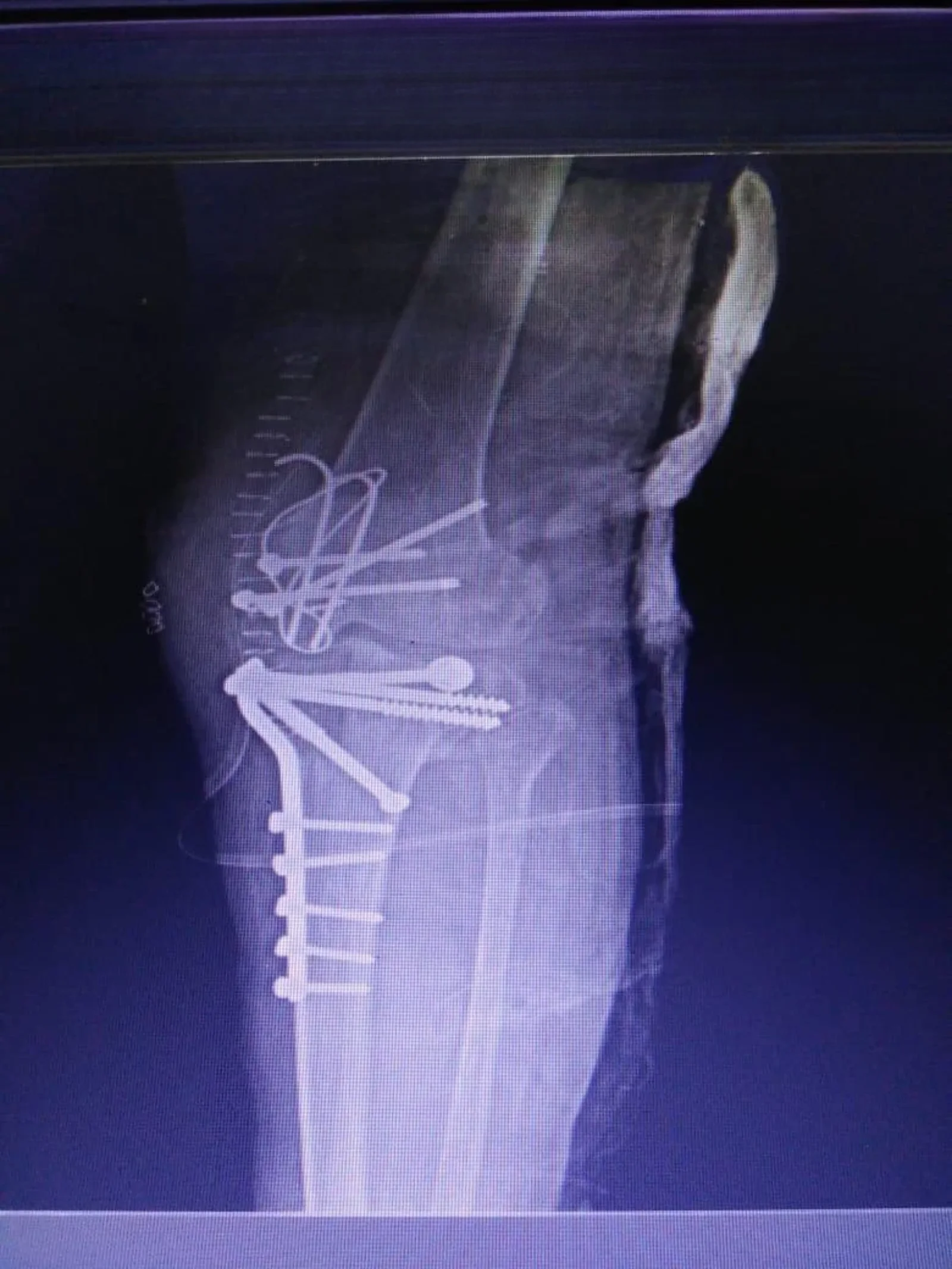
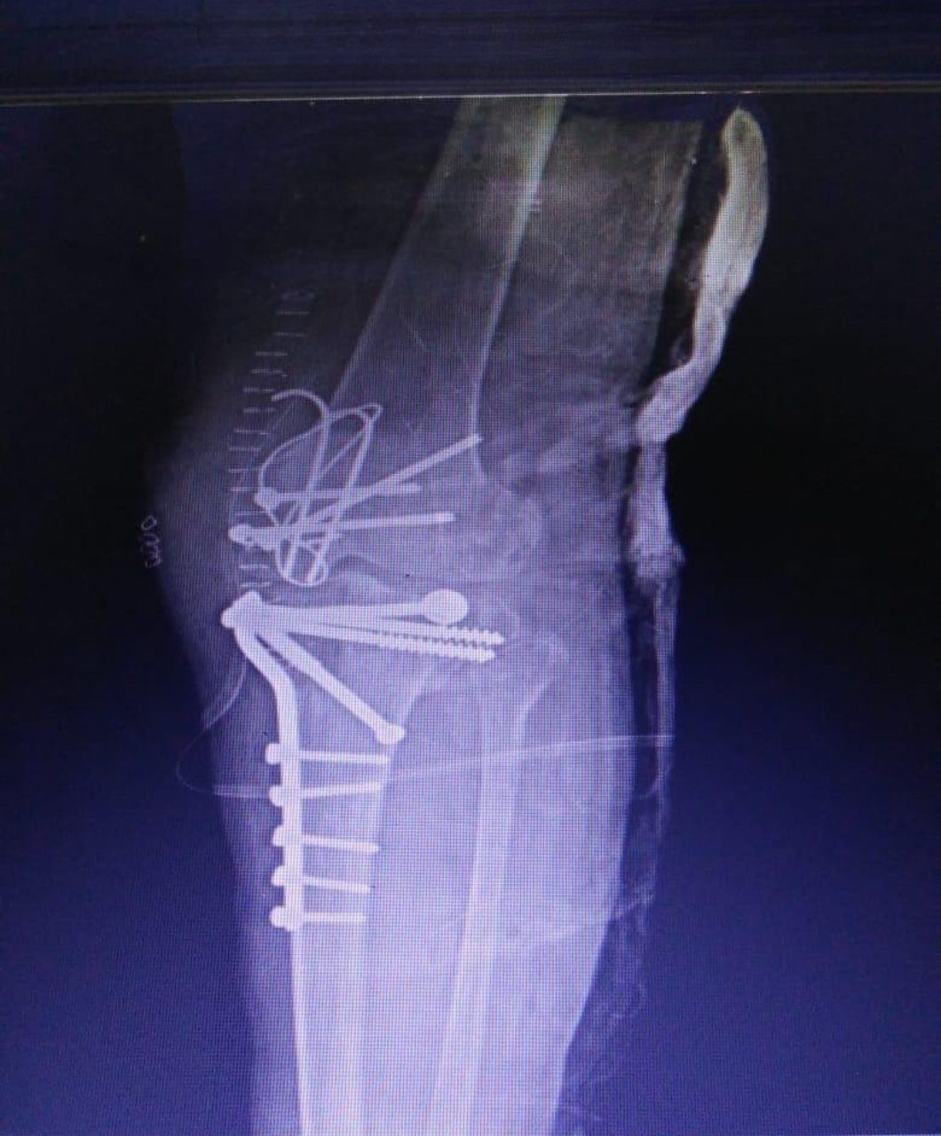
Fracture treatment focuses on restoring the normal alignment, strength, and function of broken bones caused by trauma, accidents, falls, or sports injuries.
Knee arthroscopy is a minimally invasive surgical procedure used to diagnose and treat knee joint problems through small incisions using a camera and specialized instruments.
Knee Ligament Reconstruction is a surgical procedure performed to restore stability and function of the knee after ligament injuries such as ACL, PCL, MCL, or LCL tears.
With over 15 years of experience, we offer advanced, minimally invasive orthopaedic care backed by proven surgical outcomes. Trained under renowned pioneers, we focus on ethical practice, personalized treatment plans, and patient-first care to ensure faster recovery, long-term joint health, and lasting mobility.

Extensive experience delivering advanced orthopaedic and knee surgeries with precision, safety, and consistently successful patient outcomes.

500+ knee replacements and thousands of successful arthroscopic procedures.

Trained under India’s most respected orthopaedic pioneers at Sancheti Institute.

Advanced surgical techniques ensuring smaller incisions, less pain, faster recovery, and superior functional outcomes.

Personalized treatment plans designed around each patient’s condition, lifestyle, recovery goals, and long-term joint health.

Transparent, honest, patient-first care built on integrity, evidence-based decisions, and long-term trust.
We offer trusted, compassionate, and expert care led by a senior IVF consultant with decades of experience in fertility and women’s health. Our clinic combines advanced reproductive technology with personalized treatment plans, ensuring accurate diagnosis and effective outcomes.

Led by Dr. Archana Jain (MRCOG), bringing 25+ years of clinical expertise and 15+ years of dedicated experience in IVF and fertility care.

Offering the complete range of modern fertility solutions including IVF, IUI, ICSI, PGD, egg donation, and fertility preservation.

Every patient receives an individualized care plan tailored to medical needs, age, and fertility goals—no one-size-fits-all approach.

Treatments are guided by international protocols, transparency, and honest counseling to ensure safe and ethical medical practice.

Equipped with advanced diagnostics, reproductive ultrasonography, and modern IVF lab coordination for precise and effective treatment.

From fertility treatment to gynecology, pregnancy care, and high-risk obstetrics—complete care under one roof.

Emotional support, clear communication, and continuous guidance at every step of your fertility and pregnancy journey.

Trusted by patients across Delhi NCR with successful outcomes, long-term follow-ups, and a reputation for reliable, patient-centric care.
Dr Lovey Singhal - Best Orthopaedic surgeon in Gurgaon| | Knee & Joint Replacement , Arthroscopy , ACL Surgeon in Gurgaon 70 Google reviewsPosted on Kanupriya SharmaTrustindex verifies that the original source of the review is Google. I will highly recommend Dr. lovey Singhal for any kind of knee related problems we consulted him for my mother’s prolonged knee pain for which he gave a clear and understandable treatment plan ,also the treatment showed results in just few days of medicines . Doctor Lovey is truly is God sent 🙏🏻highly recommended.Posted on Mamta ChikTrustindex verifies that the original source of the review is Google. I got my ACL surgery done 3 weeks back by Dr. Lovey Singhal. He is extremely professional, caring and courteous. He made sure to clear all my doubts before and after surgery. I am now able to walk normally. There is no pain..His surgical expertise is exceptional. He is no doubt one of the best Arthroscopy surgeon in gurgaon. Thanks a lot Dr. Lovey for healing mePosted on Ahsan AhmadTrustindex verifies that the original source of the review is Google. Very good and experience Doctor in Gurugram haryana. Very good...Posted on mohdfarhan husainTrustindex verifies that the original source of the review is Google. Dr Lovey Singhal is the best doctor as my father having back pain from last two years but none dr could treat him permanently so I got reference from some about him so I visited Dr Lovey Singhal at hospital now my father is feeling so well from last 3 months so I thanks dr lovey Singhal to make a such a great efforts to treat my fatherPosted on Ajay SinghTrustindex verifies that the original source of the review is Google. We are incredibly grateful to Dr. Lovey Singhal for the exceptional care and expertise shown during my mother’s recent robotic total knee replacement surgery. From the very first consultation to the post-operative care, the entire process was marked by professionalism, compassion, and a deep commitment to patient well-being. Dr. Lovey took the time to explain the procedure in detail, answered all our questions patiently, and ensured that my mother felt comfortable and confident going into surgery. The use of advanced robotic technology, combined with the doctor’s skilled hands, resulted in a smooth surgery and a remarkably quick recovery. Today, just days after the operation, my mother is walking pain-free with renewed confidence and mobility. It’s truly heartwarming to see her quality of life improve so significantly. We wholeheartedly thank Dr. Lovey and the entire medical team for their outstanding work. It is rare to find such a perfect combination of surgical excellence and genuine care. Highly recommended to anyone considering knee replacement surgery.Posted on The Dental HomeTrustindex verifies that the original source of the review is Google. Visited Dr.Lovey for knee pain and very much satisfied with the treatment provided by him..would highly recommend him to everyonePosted on Sweta KerkettaTrustindex verifies that the original source of the review is Google. I had an injury in my right knee while playing badminton for which i consulted Dr. Lovey Singhal and he diagnosed me with ligament injury. Later, MRI also confirmed that i had ACL tear. He operated on my right knee and did a ligament reconstruction surgery. Its been more than 3 months and i am doing absolutely fine now. A big thanks to Dr. Lovey for curing me.Posted on Anjali VermaTrustindex verifies that the original source of the review is Google. I had back pain since a very long time. After treatment with Dr Lovey my back pain is almost gone. Very happy and satisfied with the results. Highly recommend him for all orthopedic problemsPosted on Priyanka SethiTrustindex verifies that the original source of the review is Google. Visited Dr Singhal twice during last 1 month with respect to my knee problem ...Besides his knowledge and patient hearing, found his advise and diagnosis of my problem v effective and i m recovering now.Posted on Aparna SharmaTrustindex verifies that the original source of the review is Google. Visited for knee pain, had a good experience. The treatment has begun, will update on progress
If you experience persistent joint pain, stiffness, injury, swelling, or difficulty in movement, consultation is recommended.
No. Many conditions can be managed with non-surgical treatments. Surgery is advised only when necessary.
Arthroscopy is a minimally invasive procedure using a camera to diagnose and treat joint problems.
Recovery varies by procedure and patient, but minimally invasive techniques allow faster healing.
Yes. Physiotherapy plays a vital role in restoring strength, mobility, and long-term joint function.